C. Policía Nacional, nº 17 local 4, Estepona 29680, Málaga
                                
 C. Policía Nacional, nº 17 local 4, Estepona 29680, Málaga
Consigue Una Consulta GRATUITA de Ortodoncia Invisible En Kalèa Dental
Consigue Una Consulta GRATUITA de Ortodoncia Invisible En Kalèa Dental

''He acabado mi período con alineadores invisibles y estoy súper contenta. Mi higienista ha sido encantadora y durante todo el proceso me ha ido resolviendo todas las dudas que iban surgiendo. 
Ya he recomendado y seguiré recomendado la clínica de Kalèa Dental por el buen trato de todos/as. .'' -Elena

¿Quieres conseguir dientes rectos en poco tiempo pero sin aparatos metálicos?

Habla con nuestros expertos en ortodoncia invisible para averiguar si la ortodoncia invisible es adecuada para ti.
  • Simulación del resultado final de tu sonrisa realizado con Inteligencia Artificial
  • ​​​​Estudio Completo: radiografía panorámica/de perfil (valorado en 100€)
  • ​30’ de entrevista personal con el Dr. Claudio Alvarez o la Dra. Pilar Ríos para resolver todas tus dudas
  • ​Planes de Pago Flexibles: elige la cuota que mejor se adapte a ti
  • Completamente GRATUITA y sin compromiso
Disponibilidad limitada
'''He acabado mi período con alineadores invisibles y estoy súper contenta. Mi higienista ha sido encantadora y durante todo el proceso me ha ido resolviendo todas las dudas que iban surgiendo. 
Ya he recomendado y seguiré recomendado la clínica de Kalèa Dental por el buen trato de todos/as.'' 
-Elena

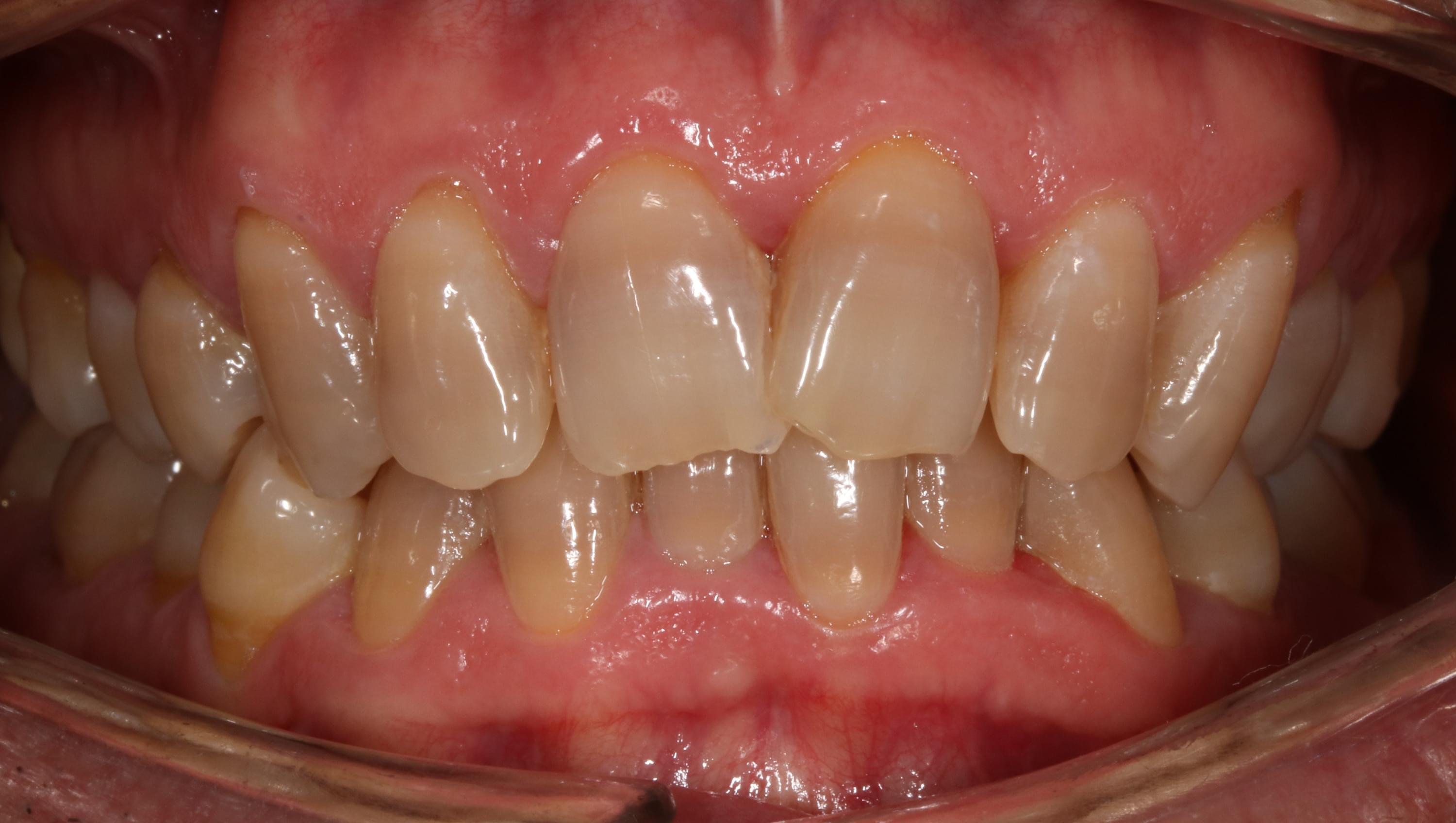
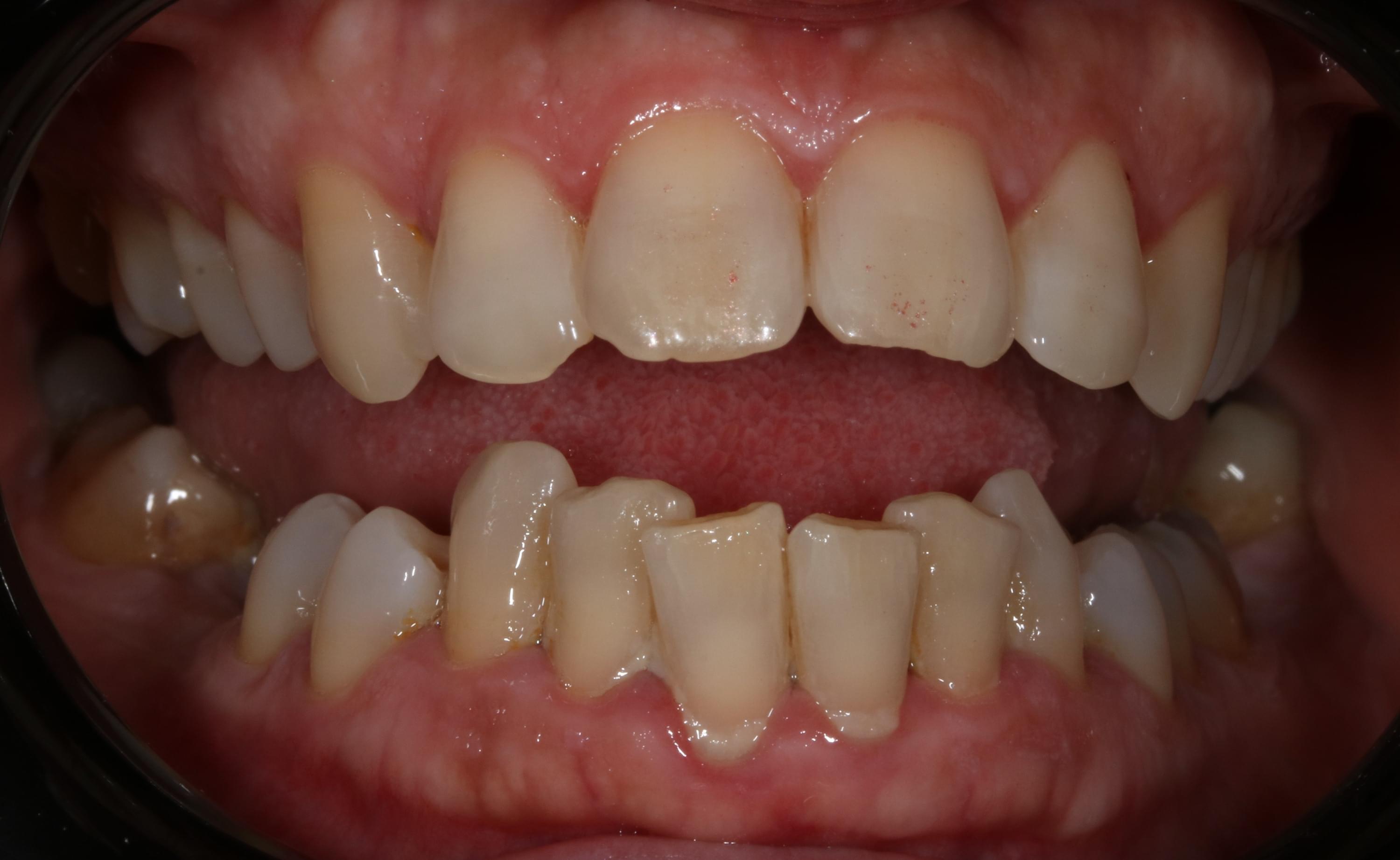
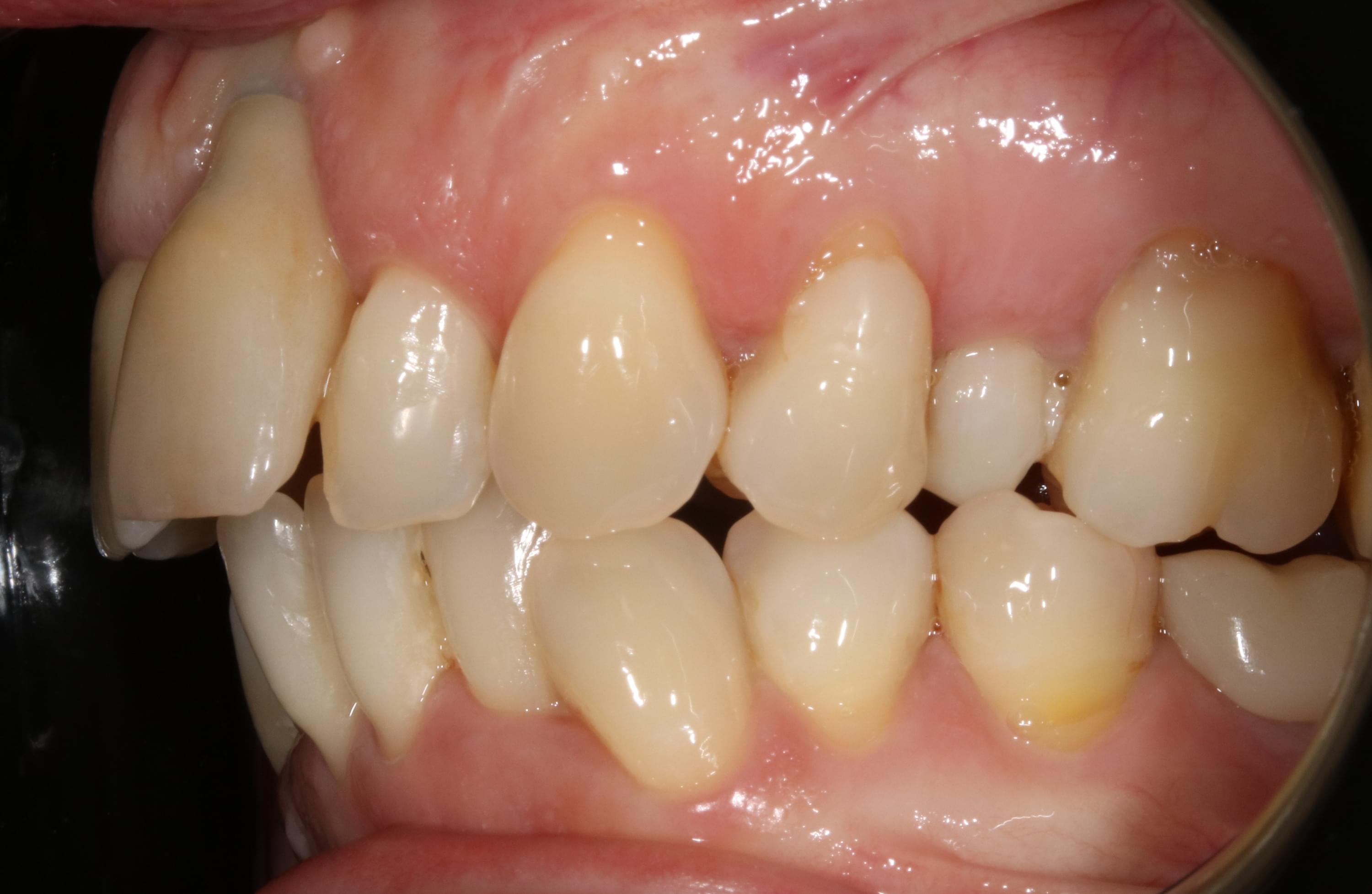
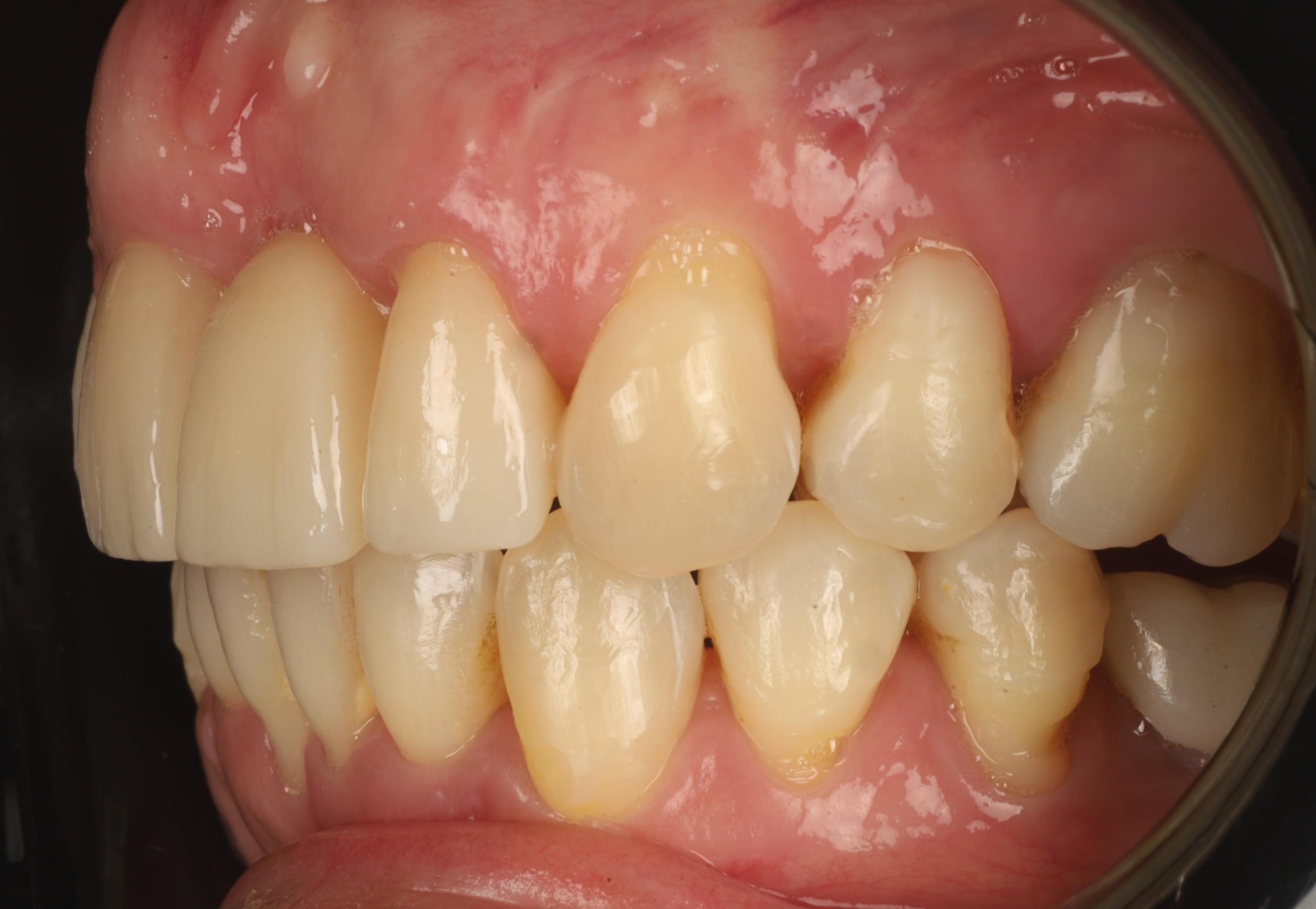
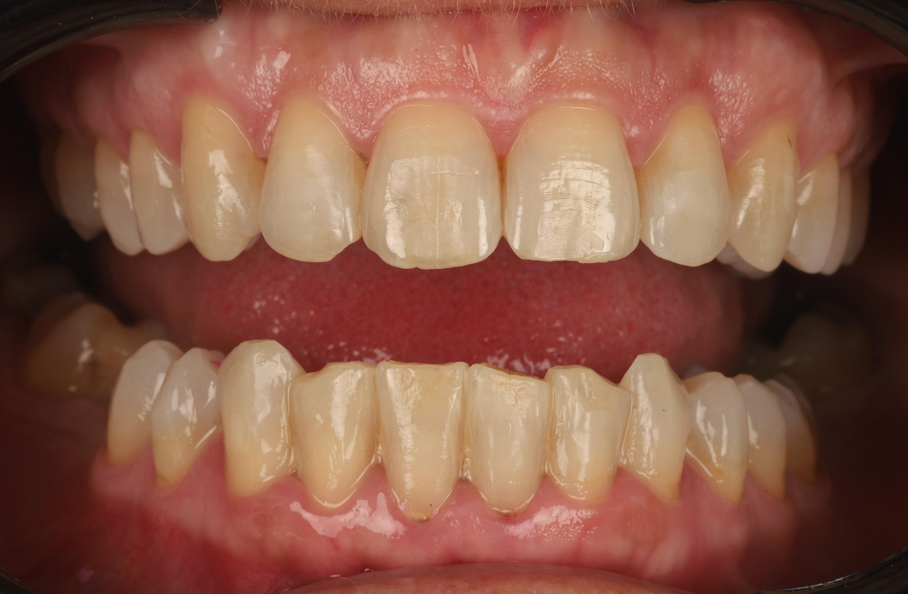
CASOS REALES TRATADOS POR LOS DRS. CLAUDIO ÁLVAREZ Y PILAR RÍOS

CASOS REALES TRATADOS POR LOS DRS. CLAUDIO ÁLVAREZ Y PILAR RÍOS

Antes

Después

Antes

Después

Antes

Después

Antes

Después

Antes

Después

Antes

Después

Una Solución Simple y Efectiva Para Dientes separados, Torcidos o Desalineados

  • Nuestros alineadores transparentes son prácticamente invisibles; los demás no podrán darse cuenta de que los lleva puestos.
  • Come lo que quieras, solo tienes que quitártelos y masticar con normalidad.
  • Puedes cepillarte los dientes sin ellos, para evitar las caries y la gingivitis que podrían aparecer con la ortodoncia tradicional.
  • ​Evita lesiones en las encías o la mandíbula durante las actividades físicas y deportivas.
  • ​No es necesario acudir a citas frecuentes para ajustarlos.
  • El tratamiento promedio dura alrededor de 17 meses.

¿Estás list@ para comenzar? Reserva tu Consulta 
GRATUITA de Ortodoncia Invisible hoy 

¿Estás list@ para comenzar? Reserva tu Consulta GRATUITA de Ortodoncia Invisible hoy 

Los Drs. Claudio Alvarez y Pilar Ríos Consiguen Resultados Increíbles Cada Vez

Los Drs. Claudio Alvarez y Pilar Ríos Consiguen Resultados Increíbles Cada Vez

Soy un apasionado de transformar sonrisas y mejorar vidas a través de la ortodoncia. Cuento con una amplia experiencia en el área y una visión clara: ofrecer tratamientos con calidez, precisión y excelencia.

Para mí, la ortodoncia no es solo alinear dientes, sino acompañar a cada paciente con cercanía y empatía en cada etapa del tratamiento.

Gracias a mi formación especializada y a un enfoque humano, consigo que la ortodoncia sea una experiencia positiva. Ya sea con ortodoncia invisible u otros sistemas, mi objetivo siempre es el mismo: lograr resultados estéticos y funcionales que mejoren la salud bucodental… y la forma en que cada persona se mira y se muestra al mundo.
CUSTOM JAVASCRIPT / HTML

Consigue La Sonrisa Que Quieres Hoy

Ofrecemos opciones de financiación asequibles para todas tus necesidades de ortodoncia, comienza con nosotros
hoy y reclamar tu pack de consulta gratuita de ortodoncia invisible!

Preguntas Más Frecuentes

 ¿Cuánto puede durar mi tratamiento?

Depende de tu situación, hay casos desde los 6 meses hasta los 22 meses. De cualquier forma, nuestro objetivo es conseguir la perfección en tu sonrisa: siempre que quieras podemos pedir más alineadores y mejorar el resultado, independientemente del tiempo que tengamos que dedicarle.

 ¿Qué es más caro, los brackets tradicionales o los alineadores invisibles?

Actualmente, gracias al desarrollo de la impresión 3D, los alineadores invisibles han reducido considerablemente su precio respecto a hace unos años.

 ¿Vienen con garantia?

Por supuesto. En Kalèa Dental, damos 100% de garantía en nuestros alineadores: siempre que haya un defecto (¡aunque eso nunca sucede!), lo reponemos sin coste alguno. Nos aseguramos de que termines con una sonrisa 10/10.
Copyright 2025, por kaleadental.com
Todos los derechos reservados
Este sitio no es parte del sitio web de Facebook ni de Facebook Inc. Además, este sitio NO está respaldado por Facebook de ninguna manera. FACEBOOK es una marca registrada de FACEBOOK, Inc.